75. KONGRESS DER DEUTSCHEN GESELLSCHAFT FÜR UROLOGIE E.V. (DGU 23) 20.09.2023 – 23.09.2023Leipzig, Deutschland Eventdatum: 20.09.23 – 23.09.23 Eventort: Leipzig Firmenkontakt und Herausgeber der Eventbeschreibung: Canon Medical Systems GmbHHansemannstr. 6741468 NeussTelefon: +49 (2131) 1809-0Telefax: +49 (2131) 1809-139http://de.medical.canon Weiterführende Links Zum Event Originalinserat von Canon Medical Systems GmbH Alle Events von Canon Medical Systems GmbH Für […]
Monat: Juli 2023
Munich Heart (Schulung | München)
MUNICH HEART 16.09.2023 – 17.09.2023München, Deutschland Eventdatum: 16.09.23 – 17.09.23 Eventort: München Firmenkontakt und Herausgeber der Eventbeschreibung: Canon Medical Systems GmbHHansemannstr. 6741468 NeussTelefon: +49 (2131) 1809-0Telefax: +49 (2131) 1809-139http://de.medical.canon Weiterführende Links Zum Event Originalinserat von Canon Medical Systems GmbH Alle Events von Canon Medical Systems GmbH Für das oben stehende Event ist allein der jeweils […]
CT-Workshop Modul 3 (Workshop | Neuss)
ZEITPLAN Freitag, 15. September 2023 Ab 09:00 Uhr Registrierung 10:00 – 17:30 Uhr Samstag, 16. September 2023 08:30 – 13:00 Uhr 13:00 – 15:00 Uhr Herz-CT-Kurs – optional INHALTE Fehler erkennen und beheben Umgang mit schwierigen Patienten Spektrale Bildgebung Perfusion Gruppenarbeiten ORGANISATION VERANSTALTUNGSORT Holiday Inn Hotel Neuss ↗ SEMINARBETREUUNG Eva StroeherTelefon: 02131 1809-173 ↗Telefax: 02131 1809-128 ↗E-Mail: eva.stroeher@eu.medical.canon ↗ ANMELDUNG Bitte melden […]
Viszeralmedizin 2023 (DGVS) (Schulung | Hamburg)
VISZERALMEDIZIN 2023 (DGVS) 11.09.2023 – 16.09.2023Hamburg, Deutschland Eventdatum: 11.09.23 – 16.09.23 Eventort: Hamburg Firmenkontakt und Herausgeber der Eventbeschreibung: Canon Medical Systems GmbHHansemannstr. 6741468 NeussTelefon: +49 (2131) 1809-0Telefax: +49 (2131) 1809-139http://de.medical.canon Weiterführende Links Zum Event Originalinserat von Canon Medical Systems GmbH Alle Events von Canon Medical Systems GmbH Für das oben stehende Event ist allein der […]
5. Anwenderseminar für Muskel- und Nervensonografie (allerlei in Leipzig) (Seminar | Leipzig)
Die technischen Fortschritte bei der Entwicklung neuer Ultraschallgeräte (hochfrequente Ultrabreitband-Linearschallköpfe, Matrixsonden, Verfahren zur Beurteilung der Mikrovaskularisation) sowie Verbesserungen bei der Darstellung von Punktionsnadeln haben in den Gebietender Neurologie, Schmerztherapie, Unfallchirurgie/Orthopädie und Anästhesiologie in den letzten Jahren die Anwendungsbereiche der hochfrequenten Sonographie erheblich erweitert. Unser Anwenderseminar, welches zum 5. Mal ausgerichtet wird, soll interdisziplinär in den oben […]
Blickdiagnosen im MRT für MTR (Webinar | Online)
Dorina Petersen In der täglichen Routine hat man wenig Zeit, sich lange mit den Bildern zu beschäftigen, die man anfertigt. Dennoch soll man auf bestimmte Erkrankungen richtig reagieren und die Protokolle anpassen. MTR´s sind keine Ärzte, dennoch gibt es ein Krankheiten, die eindeutige Bildmerkmale zeigen. In diesem Webinar werden eine Reihe solche Erkrankungen gezeigt. Woran […]
DEEP-Learning-Rekonstruktion in der Neuroradiologie (Webinar | Online)
Professor Dr. med. Marc Brockmann WEITERENTWICKLUNGEN VON KOPF BIS FUSS BEIM VC Oberstarzt Dr. med. Stephan Waldeck DEEP-LEARNING-REKONSTRUKTION IN DER NEURORADIOLOGIE Die CT ist ein essentielles Routine-Verfahren in der Neuroradiologie. Bei steigender Bildqualität konnte die Röntgendosis mit neuen Technologien in der letzten Dekade deutlich gesenkt werden, was für die zielgerichtete und möglichst schonende Behandlung von […]
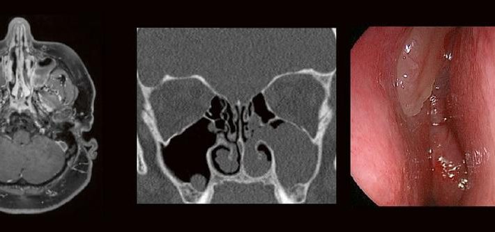
HNO & Radiologie: gemeinsam durch die NNH – ein Joint Venture (Webinar | Online)
Dr. med. André ReisbergDr. med Sebastian Plößl Die bildgebende HNO-Diagnostik macht es Anfängern nicht leicht. Die Anatomie ist komplex und weniger intuitiv als in anderen Körperregionen. Normvarianten erschweren insbesondere in den Nasennebenhöhlen den Lernprozess. Sobald pathophysiologische Zusammenhänge verstanden und wichtige klinische Aspekte verinnerlicht wurden, gelingt es einen praxistauglichen, belastbaren Befund zu erstellen. Wo muss ich […]
Dual-Energy CT der Wirbelsäule: Technik und klinische Praxis (Webinar | Online)
Professor Dr. med. Matthias PumbergerPD Dr. med. Torsten Diekhoff Die Dual-Energy-Computertomographie (DECT) hat für viele klinische Anwendungen bereits Einzug in die Praxis genommen. Für die Behandlung von Wirbelsäulenerkrankungen sind besonders die Darstellung von Knochenmarkveränderungen (z. B. bei osteoporotischen Frakturen) und der Bandscheibe (z. B. bei Bandscheibenvorfällen) interessant und werden intensiv beforscht. Hierdurch versprechen wir uns […]
Outside the box-Vortrag: die Neuroradiologie der Moral (Webinar | Online)
Professor Dr. med. Michael Knauth Das Treffen moralischer Entscheidungen erfordert – wie jede andere Hirnleistung auch – das Zusammenwirken verschiedener Hirnareale. Der Vortrag nimmt auf eine interaktive Reise durch die Mehrzügeligkeit moralischer Entscheidungen (emotional vs. utilitaristisch) und gängiger moralischer Dilemmata (Trolley-Problem) und führt schließlich zu den mit dem Treffen dieser Entscheidungen befassten Hirnregionen und zu […]
