Dr. med. Urspeter Knecht Die MR-Spektroskopie – eine oft unterschätze Untersuchungsmethode – kann im Rahmen eines molekularen Fingerprints ein Game Changer sein in der neuroradiologischen Bildgebung. Eine Zusammenstellung von Hintergründen, Pitfalls, Aha-Erlebnissen, Nutzen und Risiken – Teil 2 Eventdatum: Mittwoch, 22. November 2023 17:00 – 18:00 Eventort: Online Firmenkontakt und Herausgeber der Eventbeschreibung: Canon Medical […]
Monat: Juli 2023
Bildnachverarbeitung in der CT (Webinar | Online)
Alex Riemer Moderne CT-Scanner unterstützen die Anwenderinnen und Anwender bei der Durchführung der meisten CT-Untersuchungen. Hierzu zählt auch das automatische Erstellen von streng coronalen und sagittalen Multiplanaren Reformatierungen (MPR´s). Es gibt jedoch CT-Untersuchungen, bei denen die MPR´s individuell an die Anatomie angepasst werden müssen. Doch gerade bei diesen Bildnachverarbeitungen gibt es oft Unsicherheiten darüber, worauf […]
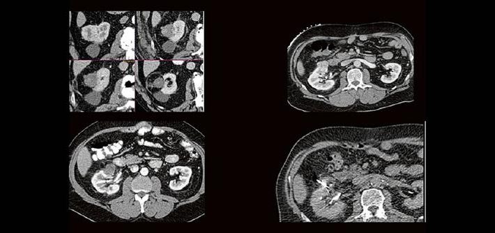
Thermoablation von Nierentumoren (Webinar | Online)
Dr. med. Sascha Alexander Pietruschka Die Anwendung von ablativen Verfahren hat sich in der klinischen Praxis etabliert. Nierentumoren bieten sich für den Einsatz von RFA und Mikrowelle an. Im Dietrich Bonhoeffer Klinikum Neubrandenburg blicken wir auf 15 Jahre Erfahrung mit mehr als 100 RFA/Mikrowellenablationen von Nierentumoren zurück. Im Vortrag werden die eigenen Erfahrungen und Ergebnisse […]
Klinische Vorteile eines Software Upgrade mit künstlicher Intelligenz aus Sicht der MTR (Webinar | Online)
Jan Hendrik Falkenstein Künstliche Intelligenz spielt in der klinischen Anwendung eine immer größer werdende Rolle. Im radiologischen Sektor erfährt besonders die Magnetresonanztomographie aktuell einen regelrechten KI-Hype. Kürzere Untersuchungszeiten, eine höhere Bildqualität oder eine Kombination aus Zeit und Qualität sind theoretisch möglich, doch ist die KI in der Praxis mehr als eine Spielerei? Wie aufwendig ist […]
Fototermin: 73 junge Talente starten bei der Region ins Berufsleben (Pressetermin | Hannover)
Willkommen! Ausbildungsstart in zwölf Berufsfeldern – zwei davon inklusiv Neue Kolleg*innen an Bord: 73 junge Menschen beginnen im August und September ihr duales Studium oder ihre Berufsausbildung bei der Region Hannover. Neben den klassischen Verwaltungsberufen starten auch Azubis in handwerklichen und technischen Bereichen wie Fachinformatiker*innen und Straßenwärter*innen. Im Inklusionsbereich beginnen fünf junge Menschen als Fachpraktiker*innen […]
Jetzt MD-102 Microsoft Endpoint Administrator werden! (Schulung | München)
Im Seminar MD-102 Microsoft Endpoint Administrator lernen IT-Professionals eine Endpunkt-Bereitstellungsstrategie mit modernen Bereitstellungstechniken zu planen, auszuführen und Update-Strategien zu implementieren. Dieser Kurs bereitet auf das Examen MD-102 vor. Eventdatum: 21.08.23 – 25.08.23 Eventort: München Firmenkontakt und Herausgeber der Eventbeschreibung: CBT Training & Consulting GmbHElektrastraße 6a81925 MünchenTelefon: +49 (89) 4576918-12Telefax: +49 (89) 4576918-25http://www.cbt-training.de Weiterführende Links Zum Event […]
Modernste Klimatechnik für die onkologische Kinderstation (Pressetermin | Karlsruhe)
Um den zunehmend heißen Sommern zu trotzen, erhält die hämatologische und onkologische Kinderstation „Regenbogen“ im Klinikum Karlsruhe ein hochwertiges Klimasystem. Ermöglicht wurde das Projekt durch den Förderverein FUoKK und eine hohe Privatspende. Jetzt beginnen die Bauarbeiten mit einem symbolischen Spatenstich. Auf der Station S24 „Regenbogen“ im Städtischen Klinikum Karlsruhe werden Kinder versorgt, die schon in […]
Onlineseminar: Smart Tachograph Version 2 (Schulung | Online)
Das bevorstehende Online-Seminar am 14.08.2023 widmet sich dem Thema des neuen Smart Tachographs der zweiten Generation, einem intelligenten Fahrtenschreiber, der ab dem 21. August 2023 für Fahrzeuge vorgeschrieben ist. Die Veranstaltung richtet sich an Fuhrparkbetreiber und andere Interessierte, die einen Einblick in die Neuerungen und Änderungen im Zusammenhang mit dem neuen Fahrtenschreiber erhalten möchten. Die […]
Sybit Expertenforum Service Excellence 2023 (Kongress | Walldorf)
Service-Superhelden im Daily Business 28. September 2023 | Hybrid-Event: Live vor Ort & Live-Stream Online Was Service-Verantwortliche schon lange wissen, wird auch auf Management-Ebene immer deutlicher: Der Service ist im B2B ein heimlicher (Umsatz)-Superheld. Denn die Veränderung von Kunden, Märkten und Technologien bietet Raum für neue Ansätze und Geschäftsmodelle. Moderne Ersatzteilshops, Field Service Management und […]
Summer CodeFest: C++ coding camp hosted by Whole Tomato (Webinar | Online)
Bei unserem ersten C++ Summer CodeFest werden Sie zu einem besseren C++-Entwickler! Erleben Sie mit uns zwei Wochen entspanntes Lernen, Zusammenarbeit und Coding-Sessions. Erweitern Sie Ihre C++-Programmierkenntnisse und wecken Sie Ihre Freude am Programmieren. Es handelt sich dabei um eine zweiwöchige Veranstaltung, bei der wir leicht verdauliche Sessions zu spezifischen Praktiken präsentieren, die Sie kennen […]
